Fracture Du Gros Orteil Que Faire

Nous passons en revue - Fracture Du Gros Orteil Que Faire. -

Guide Pour Un Diagnostic Dune Douleur Du Pied Chez Ladulte Proformed

Fracture Des Métatarsiens Thoracotomie

Orteils Anatomie Douleurs à Lorteil Traitements

Douleur Au Pied Causes Traitements Prévention

Comment Savoir Si Votre Orteil Est Cassé 11 étapes

Douleur à Lorteil Causes Symptômes Et Solutions

Comment Savoir Si Votre Orteil Est Cassé 11 étapes

La Journée Avait Pourtant Bien Commencé Céciliaacidulée

Une Excroissance Du Gros Orteil Revue Médicale Suisse

Lorteil Cassé De Lydie

Les informations sur fracture du gros orteil que faire que l'administrateur peut collecter. L'administrateur Tout Faire 2019 collecte également d'autres images liées fracture du gros orteil que faire en dessous de cela.

Fracture De Lorteil Ou Du Doigt De Pied Tout Avoir Top Santé

Fracture Ouverte Orteil

Aolvo 6 Pcs Cassé Orteil Attelle Orteil Correcteur Gros Orteil

Fracture Du Gros Orteil Piedréseau

Douleur Au Gros Orteil Arc En Si Elles

Hallux Valgus Et Autres Pathologies De Lavant Pied Chirortho13fr

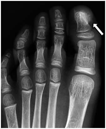
Fracture De Lorteil Symptômes Traitement Définition

Présentation Des Fractures Lésions Et Intoxications Manuels Msd

Fracture De Fatigue Tout Savoir Sur La Fracture De Fatigue

Fractures Des Orteils Blessures Empoisonnement édition

Douleur Du Gros Orteil Voici Les Causes Et Traitements Possibles

Comment Soigner Un Orteil Cassé 13 étapes

Fracture Du Gros Orteil Symptômes Ai Je Besoin Dun Plâtre Pour Un

C'est tout ce que nous pouvons vous informer sur le fracture du gros orteil que faire. Merci de visiter le blog Tout Faire 2019.


Subscribe to receive free email updates:

0 Response to "Fracture Du Gros Orteil Que Faire"

Post a Comment